![]() |
إعداد : كمال غزال |
والملاحظ أن رؤى الجن والأشباح يزداد حدوثها لدى الإنسان في أعمار صغيرة كسنين المراهقة المبكرة وأيضاً لدى النساء أكثر من الرجال ومع أننا لا نستطيع تحديد ماهية الجن مادياً وفقاً لعلوم اليوم إلا أنه من الثابت والواضح أن لهم تأثيرات ملحوظة على الحقول المغناطيسية والحرارة الإشعاعية ، وهذا ما أثبتته تجارب فرق التحقيق العديدة في الأماكن التي توصف بأنها مسكونة بالأشباح أو عمار المكان (تبعاً لثقافة الناس)، إذ سجلت الأجهزة والكاميرات أطيافاً وشذوذات في فيض الأشعة تحت الحمراء وفي الحقول المغناطيسية عند بقع مكانية محددة ، واتضح حديثاً ومن خلال الإحصاءات أن للحقول المغناطيسية تأثير على ما نراه من أحلام غريبة (إقرا عن صلة الأحلام بالحقول المغناطيسية) وهي أحد أشكال الأحلام التي وصفت في عدد من الأحاديث الشريفة على أنها رؤى من الشيطان والشيطان من الجن كما نعلم.
- إذن يمكن القول بأن الجن مخلوقات ذكية تملك تحكماً كاملاً بتلك الأمواج أوالذبذبات لتؤثر بها على ما يراه الإنسان طالما أنها بالأصل مخلوقة من النار والنار في النهاية هي أمواج مغناطيسية تقع تردداتها في مجال الأشعة تحت الحمراء والطيف المرئي. ولكن كيف تؤثر تلك الأمواج التي تتلاعب بها تلك المخلوقات الذكية في ما يراه الإنسان ؟ قد تكمن الإجابة في الغدة الصنوبرية الموجودة في دماغ الإنسان.
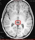
الغدة الصنوبرية : العين الثالثة

1- تحكم بحقل الرؤية
تتحكم الغدة الصنوبرية في ايقاع الجسم بصورة عامة .وهي تعمل في تناغم شديد مع مهاد المخ ( الهيبوثلامس ) حيث يتحكم الضوء في كم وافراز هذه الغدة فتفرز هرمون الميلاتونين كما تحتوي الغدة الصنوبرية علي خريطة كاملة لحقل و مجال الرؤية من كلا العينتين مما ينبهها للتحكم في افراز الميلاتونين عن طريق كمية الضوء الداخلة اليها لذا تعارف العلماء علي تسميتها بالعين الثالثة.2- ساعة بيولوجية
تعمل الغدة الصنوبرية كساعة بيولوجية داخل جسم الانسان تنظم له وقت النوم و الاستيقاظ و هذا يفسر لنا لماذا يحتاج الفرد لعدة أيام للتأقلم مع فرق التوقيت عند السفر من دولة إلى أخرى ، فبتغيير وقت النوم و الاستيقاظ يضطرب افراز الميلاتونين المعتاد .3- تحكم بالرغبات
تنظم الغدة الصنوبرية الجسم بشكل عام فيما يتعلق برغبات الإنسان من العطش أو الجوع أو الرغبة الجنسية فهذه الاحتياجات كلها تتأثر بمستوي الميلاتونين في الدم ، ولوحظ أيضاً أن الغدة الصنوبرية تتحكم بمواسم التزاوج عند الحيوانات والتي تحدث على فترات منتظمة.- لدى دراسة الملامح المشتركة لحالات المس من الجن والقصص التي تدور حول مشاهدة الجن يمكن القول بأن الغدة الصنوبرية قد تكون المدخل المفضل للجن للتلاعب بسلوكيات الإنسان ورغباته والرؤى التي تراوده (فقط إن توفرت لديها الأسباب والمحفزات) لتتدخل في حياة بعض الأشخاص الذين يوصفون بأن لهم شفافية عالية أو قدرات فوق حسية Psychic تمكنهم من الإتصال مع ذلك العالم المجهول دون سواهم من البشر الآخرين فيطلقون عليهم اسم "وسطاء روحانيون" ،و قد يكون للعلم كلمته في هذا الشأن عندما تجرى أبحاث موسعة تدرس تأثير الحقول الكهرومغناطيسية الخارجية على الغدة الصنوبرية.
أشكال الجن في الرؤى
بحسب التقارير والتجارب الواقعية التي عاشها أناس والذين شاهدوا أشباحاً أو تجسدات غريبة لمخلوقات يمكن القول أن الجن لها أشكال عديدة ومختلفة فمنها ما يكون له أشكال بشرية وفي بعض الحالات قد تتجسد بهيئة أشخاص مقربين من الشخص الذي يشاهدها ، و منها ما يأخذ أشكال حيوانات سوداء اللون كالقطط والكلاب والثعابين، وقد تتفاوت أحجامها أيضاً فمن الممكن أن تكون صغيرة جداً كالأقزام أو ما يسمى Fairies تشبه الفراشات مع أن لها شكل شبه البشر، أو قد تبدو عملاقة أو تتخذ حجما متوسطاً.
- وهناك أيضاً أشكال تشبه ما اصطلح عليه اسم "المخلوقات الفضائية" التي تتميز برؤوس وعيون كبيرة كعيون الحشرات وفم صغير وأذن صغيرة والتي يزعم بعض الأشخاص أنهم تواجهوا معها وقامت بخطفهم (أنظر الملامح المشتركة للإختطاف من قبل المخلوقات). وبعضهم يرى تلك مخلوقات لها أشكال بشرية شاذة كأن تكون مزيجاً من السحالي والبشر Repitalian ، أو أن تكون خالية من الشعر ولها آذان مدببة على غرار ما نشاهده في فيلم Lord of Rings ، أو تضخم في أحد أعضاء الجسم كالأنف والعينين ، أو أن يكون لها أرجل تشبه الحوافر على غرار الأساطير الشائعة كأم الدويس وعائشة قنديشة وغيرها.
- ومن الجدير بالملاحظة أن هناك إختلافاً في شكل الجن تبعأً لثقافة الشخص ففي الغرب تكثر قصص أصحاب الظلال السوداء والمخلوقات الفضائية . بينما تكون تلك الصور في الشرق بعيدة عن ذلك . فهل هذا بسبب إختلاف قبائل الجن والمكان ؟ أو أن الجن يعلم ثقافة الشخص فيسلك السبل الأقرب لكي يتلاعب في ذهن الشخص ؟ خصوصاً أن القرآن الكريم ذكر أن لكل إنسان قريناً من الجن ، ومن المعروف أن القرين يرافق الإنسان طيلة حياته فيعرف عنها الكثير ويحاول التأثير فيها وحتى إنتحال شخصيته المتوفاة أو الباقية على قيد الحياة في جلسة لإستحضار الأرواح !
-مما تقدم يتضح أن للجن قدرة عظيمة على تغيير شكله الذي يظهر في الذهن وليس بالعين المجردة، وقد نجح فعلاً الأطباء في استثارة ذكريات قديمة لدى الشخص من خلال التنبيه الكهربائي الموجه إلى مناطق معينة في الدماغ حيث أخبرهم الشخص بأنه عاش وشاهد وأحس بأمور بعد إنتهاء التجربة. وقد تسلك الجن سبيلاً مشابهاً فتنبه تلك المناطق أو تتلاعب بها وتنقل لها صور وروائح واحاسيس ..الخ. وكما هو معلوم بأن الجن قبائل وأقوام متعددة كالبشر إذن ربما يختلف شكلها بحسب القبيلة التي تنتمي لها. ولكن لا أحد يعرف على وجه الدقة شكلاً موحداً أو نهائياً لهم إذ يجيدون بكفاءة فن التمويه وحتى إنتحال الشخصيات المعروفة والتاريخية منها خصوصاً في جلسات إستحضار الأرواح فهذه هي لعبتهم التي يبرعون فيها، قد يؤثر الجن سلباً أو إيجاباً فليست كل الرؤى مخيفة أو مرعبة بل قد تجلب في بعض الأحيان الطمأنينة والإرتياح كأن تظهر كمخلوقات وديعة أو توصف على أنها نورانية وفائقة الجمال.
وجهان لعملة واحدة
علم النفس يرى أن تلك الرؤى إنعكاسات عن حياتنا اليومية أو مخاوفنا أو رغباتنا ولكنه لا يملك الجواب عن الشيئ الماورائي الذي أيقظها في عقولنا ، علم النفس يبحث في النتائج وأعتقد أن للموضوع وجهان في نفس الوقت : الأول "ما ورائي" ومرتبط بعالم الجن والشياطين التي يؤمن بها العديد من الناس والتي ذكرتها الكتب السماوية والثاني "نفسي" وهي نتائج أو مفاعيل ذلك العالم ويعبر عن النفس بمخاوفها ورغباتها .
ويبقى السؤال الأصعب هنا: كيف نستطيع الفصل بين رؤية سببها مخلوق ما ورائي (الجن) وبين الخيال الخصب لدى الإنسان والذي كان وراء إبداعه وتميزه في هذا العالم سواء أكان علمياً أدى إلى الإبتكار والإختراع أو أدبياً أو فنياً ؟
إقرأ أيضاً ...
- كيف تظهر الأشباح في الصور ؟ وما هي حقيقتها ؟
- حالة "المشي نائماً"
- أنواع الجن
31 تعليقات:
غير معرف
يقول...تحاول ربط شيئ علمي بشيئ خرافي في مقالك
لماذا تحاول اقحام الجن في التحولات التي تطرأ على الغدة الصنوبرية؟
لماذا لايكون المناخ والتغدية والحالة النفسية او التشوهات الخلقية على مستوى تلك الغدة هي السبب في ضهور الجن او المخلوقات الغريبة ؟
عادة ماترى المخلوقات الغريبة او الجن عندما يكون الانسان لوحده خصوصا في الطريق أو في غرفة مظلمة او مكان مهجور ربما هاذا يفسر خوف الانسان وبالتالي ارتفاع مواد في جسمه الشيئ الذي يؤدي الى اضراب في الغدة الصنوبرية وبالتالي ضهور الاشباح وووو..
21/12/2009، 3:37:00 م
المقال يعبر عن وجهة نظري ، وهو محاولة لتفسير رؤية الجن قد تكون صائبة أو خاطئة وكذلك لا يمكن إهمال معتقدات عدد كبير من الناس حول فكرة وجود الجن التي تصفها بالخرافية ، ولا أريد في نفس الوقت أن أنفي وجود الجن لأن ذلك يتعارض مع ما أعتقده أنا ، القرآن الكريم يحتوي على سورة كاملة باسم الجن وقد ذكروا عدة مرات في الآيات ، وكذلك في الكتاب المقدس وإن تغيرت التسميات ، وباعتقادي أن علم النفس لم يصل إلى حل جميع ألغاز النفس البشرية وما هو متاح لنا قسناه ولكن مالذي تقوله عن الذي لم تقس آثاره أجهزتنا الحالية ؟ قد يأتي يوم نلاحظ تأثيرات خارجية تؤثر على عمل الغدة الصنوبرية ولم تأت من الإنسان نفسه وخارجة عن نطاق البيئة والمتغيرات الحياتية والتشوهات الخلقية. وأنا أ رى أن علم النفس لا يخرج كثيراً عن مجموعة من التنظيرات وأعتقد أنه ما زال في بداية الطريق إذ لم يمض على تأسيسه سوى قرن أو أكثر بقليل ، وأنا أؤمن بعلم بيولوجيا الأعصاب التجريبي أكثر لأنه يدرس آثار الكيماويات والكهرباء على عمل الدماغ بدلاً من أن نعطي مجموعة من التكهنات.. وأذكر في هذا السياق هنا تحليل نفسي أدلى به أخصائي بعلم النفس على أحد القنوات التلفزيونية حيث فسر مشاهدة سيدة لجسم طائر إسطواني الشكل على أنه فكرة قضيب ذكري ! ، وبالنسبة لحلول المعالجة النفسية لم تكن دائما ناجعة تماماً أو تتطلب وقتاً طويلاً، وأرجو أن لا يفهم من كلامي بأنني لست مع ذلك النوع من المعالجة ولكن قد يأتي العلم بطرق معالجة بديلة في المستقبل تكون أكثر نجاعة ..ربما.
21/12/2009، 4:06:00 م
غير معرف
يقول...هناك تفسير اخر ايضا
كما نعلم ان لكل شي تردد خاص به
حتى الالوان لها تردد معين
المستقبلات في البشر والحيوانات مثل الاذن والعين والحس
تختلف عن بعض
مثلا اذن الانسان الطبيعي مدى (الباند) لها من1 الى 16
كياو هيتز بينما الحمار حتى 50 كيلو هيتز
والعين ايضا بالنسبه للانسان عند التردد 50 الا تستطيع
ان تميز مثل ما يحدث للضوء فنراه ضوء مستمر بينما هو متقطع
وعرض التلفزيزن كذلك
ولكن الامر مختلف عند الحيوانات
يوجد بعض البشر تجد المستقبلات لديهم تختلف عن غالبيه البشر
قد يكون السبب الغده الصنوبريه او قد تكون حاله مرضيه او غبر ذللك
21/12/2009، 11:00:00 م
alquantum
يقول...the truth is sorry for typing in english first
the fire is another type of matter state which its mean the forth stateof the matter where we name it the plasma state so the fire is now magnatic wave its amatter state only and the maganatic wave that is point to red underneath frequancy is make you feel of heat and its cause of the translation between from excited state to normal state in the age of fire so there is no wave belong to genne structre sothen the third eye will going to see int through producing hermpns in the blood its just efffect the pictures the real pictures that are been sew in the reality not making addefrent wave to bee detected through the eyes then how could this bee happened its can be habened by the genney itself to make his body dence thank you very much mr kamal
22/12/2009، 1:36:00 م
غير معرف
يقول...الاخ كمال
ان اكثر الناس خبرة فى هذا الموضوع هم السحرة فهولاء وبطرقهم
الشيطانية الخاصة يتعاملون مع الجن تعاملا مباشرا كتعاملهم مع البشر
وذلك عن طريق ميزات خاصة اكتسبوها بمرور الوقت من خلال معرفتهم
وتبحرهم فى فنون ذلك العلم الضال * فلابد لهم مما يسمى بالكشف
البصرى او السمعى لكى يحصل التفاهم والتعامل مع ذلك العالم الخفى
عن طريق اعمال التسخير المعروفة *
وحسب تجربة مريرة من ذلك البلاء المؤلم ( السحر ) وجدت ان هولاء
وفى سبيل اذية الشخص المصاب فى فكره وعقله فانهم وبطريقة ما يقومون
بكشف الحجاب عن بصر الشخص المصاب وجعله يعيش فى عالم بعيد
الواقع الحقيقى واحساسنا البصرى به وهذه الحالة تجعله يرى مالاتراه
مالاتراه ابصارنا ومالايصدقه عقلنا وبالتالى ننحكم علية بالمرض النفسى
وحسب مااراه انه لو توفرت مراكز متخصصة فى البلدان العربية تدرس
هذه المواضيع وامثالها المرتبطة بذلك العالم الخفى ومعرفة تاثيراته الفعلية
والحقيقية وبالاستناد الى حالات واقعية اصيبت بهذا البلاء وتتوفر فيها
ادلة صحيحة على تغيرات فعلية حصلت نتيجة اعمال السحر والمس
وانا متاكد بان هناك حالات تعطينا اجوبة عن حقيقة مانجهله عن ذلك
العالم ولكنها للاسف الشديدة مهمولة لان هذا الجانب السحر وتاثيراته
قد اهمل منذ زمن بعيد ولازال مهملا على الرغم من انه يسبب امراضا
فتاكة جاءت بطريقة علمية لانه علم كبقية العلوم *
23/12/2009، 2:31:00 م
الأخ العزيز ...أضم رأيي إلى رأيك حول ضرورة وجود مثل تلك الأبحاث تتولاها مراكز علمية متخصصة محايدة ليس لها غاية منفعية، ولكن يجب توفر الكفاءات بالجانبين النفسي، العلمي، ومعرفة أساليب السحرة. لكي يفضحوا بعضاً منها، وكذلك تعاون معرفي بين ما وصل إليه علماء الغرب في هذا الشأن.
23/12/2009، 3:14:00 م
غير معرف
يقول...اخى العزيز كمال
كان الله فى عونك ومبروك عليكم موقعكم الجديد نتمنى من الله ان ان يديمه عليكم بالصحة والعافية والسلامة فى الدنيا والاخرة ولما فيه فائدة الاسلام والمسلمين *
هنالك حالة فريدة اعتبرها مفتاحا يجيب عن الكثير من الاستلة حول قضية تلبس الجن ورويته فاخى وباعتباره فنانا تشكيليا اوضح وبطريقة عفوية ( فبعد انقطاع طويل نتيجة ما اصيب به عاد الى الرسم ولكن بحالة اخرى تختلف عن شخصيته الحقيقة ليقوم برسم اشكال بعيدة كليا عن واقع الحياة ومرتبطة بالحالة التى يمر بها ) واعتبر ما قام به يوضح ان الاشخاص المصابين بمثل حالته يرون مالايراه الاخرون نتيجة اصابتهم بحالة تلبس ( بفعل شخص او نتيجة حالة طبيعية) وبالتا لى فانهم يحكون مايرونه حقيقة ولكننا وللاسف الشديد نعتبره وهما وانه مصاب فكريا وهذا يؤدى الى الوقوع فى خطا تشخيص الحالة ومعالجتها بالطريقة المناسبة لها ومن جانب اخر ان تصرفنا هذا يؤدى الى انكار السحر والسحرة واعتبار اعمالهم خرافية وليس لها اى تاثير مما يتيح المجال الى ظهور حالات اخرى بل الاصعب من هذا يلغى تاثير السحر ويعامل المريض معاملة طبية بحتة وهذا هو مايطمحون اليه *سوال مطروح على المتخصصين ( هل ان الرسومات التى قام بها بعد الاصابه حصلت بفعل الانفصام الذى حدده الاطباء ام نتيجة تعرضه لموثرات اخرى بعيدة عن عالم الطب ودراساته )
ابراهيم عفراوى
13/01/2010، 12:04:00 م
عبد الملك
يقول...عندما اقراء سورة " الجن " ؛
و أتأملها قليلاً ,, اية اية ,, اجد انه من الصعوبة بمكان ان اتخيل أن الجن الذين قال الله عنهم " و ما خلقت الجن والأنس الا ليعبدون " ؛
لهم اعمال اخرى ,, كا إزعاج الأنس و واكل العظام و تخويف الأنس ففى الحقيقة هم مثلنا مسؤلين و لنا موعد كما لهم موعداً يوم الدين ×××× وايضاً نحن واياهم على بعضنا مدعيين امام ربنا مختصمين !!
ولنا فى سورة " سباء " نقاط تؤكد اهميتهم فى ملك سيدنا سليمان عليه وعلى ابيه داوود افضل الصلوات والتسليم ؛
الأمور الأبداعية ,, والتقنيات المتخصصة ,, والفنون الراقية ,, ونحت رائع تقنياته لا يعرفها عامة الأنس
ولهم باع ( كانوا يعتقدونه ) فى الأمور السيكولوجية وما وراء الطبيعة ولهم اهتممات روحية وغيبية ,, كما ان بعضهم فسق وتعلم العرافة و ادعى معرفة الغيب ... ( تعلموها من بعض شياطين الأنس )
كما ان جميع مواقع ذكرهم فى القرأن الكريم تقرن دوماً مع الأنس ,, بل فى العاده هم مقدمين بالذكر كما لا يخفى عليكم !!
الجن بأختصار وبدون زعل ,, منا نحن الأنس براء كبراءً الذئب من دم يوسف ابن يعقوب صلوات ربى عليه بل ,, بل يخيل لى فى بعض الأحيان انهم ارقى منا نحن الأنس فأنظر لقولهم :
" و أن المساجد لله فلا تدعوا مع الله احداً "
" و أنا ظننا ان لن تقول الأنس والجن على الله كذبا "
" يا معشر الجن و الأنس إن استطعتم ان تنفذوا من اقطار السموات والأرض فأنفذوا لا تنفذون الا بسلطان "
وأخيراً تأملوا قول اخواننا الجن فى هذه الأية :
" وانا منا المسلمون ومنا القاسطون فمن اسلم فأولئك تحروا رشداً "
" سنفرغ لكم ايه الثقلان " اى الأنس والجن و تأملوا عجائب ايات سورة الرحمن
و اتمنى ان تعيدوا قراءة سورة " الأحقاف " وبالذات من الأية 29 الى اخر السورة الكريمة عند الأية 35 ,,
بعض الملاحضات :
اية 29 / سورة فصلت
" وقال الذين كفروا ربنا ارنا الذين اضلانا من الجن و الإنس نجعلهما تحت اقدامنا ليكونا من الأسفلين " >>> نلاحظ اننا والجن فى نظر الذين كفروا سواء ,,
واتعجب اخوانى ,, عندما افهم من الأية : الصافات رقم 158 ان قوم رسول الله يونس ابن متى يعتقدوا ؛
" وجعلوا بينه وبين الجٍنةِ نسباً ولقد علِمت الجِنة انهم لمحضرون "
ختاماً عسى ربى ان يفتح قلب احدِ يقراء ايات الله ويتأملها ويلجاء فقط لله ولا احد دون الله ان يشرح قلبه لأياته البينات ويرى العالم والخلق بنظرة كلها تعجب من روعة رب الخلق ؛
وان نغير نظرتنا الموروثة ( فما ضر من قبلنا الا انهم لمن قبلهم متبعون ) وان نبدء نقتنع ان كلام ربى عز وجل سهل بسيط لا يحتاج لا الى مترجم او وسيط او مراجع فى التفسير قديمة كانت ام جديدة فهم ونحن بشر نحشر لوحدنا ولوحدنا نسئل ولن اغنيهم او يغنونى من الله شيئاً اليس ربى هو القائل :
" انا انزاناه بلسان عربى لتفقهوا قوله "
و تفرده و قربه الشديد منا وصبره ورحمته علينا ,, وسرعة استجابته عز وجل لنا و والله الذى نفسى بيده ,, انا لا اعرفكم و لا تعرفونى ولكنى ببساطة موحد لله تعالى ما استطعت و اتبع الحق المنزل على سيدى ابو القاسم حيث ربى شاء وانى شخص جداً جداً من اوسط الناس ولكنى ورب الكعبة اقول :
من طلب الله وسأله ودعاه لن يرده ,, ولو طلبه العاصى واستجار به الملحد الكافر واستغاث لن يرده و سيستجيب ربى عز وجل وهو اعلم بأنهم على اعقابهم ناكصون ,, ولو تكرر دعائهم عند الحاجه ربى لهم مستجيب لذلك يا كرام ؛
افتح كتاب الله واقرائه و تأمله اية اية وفسرها انت بنفسك ,, وإن كنت لا تقراء دع شخصاً يقرئها وافهمها فهى عربية سهلة ,, و اذا صعبت كلمة ابحث عن معناها فى المعاجم اللغوية ,, وربى الذى نفسى بيده ستجد لكلامات الله وقعاً غريب ,, ولحروف اياته سحراً ,, ويقيناً ستشعر به ,,, يا ربى حقق ذلك لمن طلبك
ربى الناس وصفت خلقك الجن ,,بأبشع الصور و تقولت عليهم من الأكاذيب وتلاعبت الشياطين بنا ,, وجعلتنا نظلم خلقك من اخوتنا الجن بما هم منه براء ,,وانت ربى اعلم بهم ,, منهم اخوة لنا لك موحدين وبالأسحار لك وحدك ربى ساجدين وعلى سيدى ابو القاسم يصلون عليه كما طلبت منا فى قرأنك الكريم ,,
ومنهم المبدعون ممن سخرتهم لخدمة رسولنا سليمان بن رسول الله داوود وكان منهم البرره ومنهم الفجره انت بهم اعلم ,,, ياربى غير افكارنا لما تحبه وترضاه ,,
واجعل حاجتنا لك وحدك ,, واجعل نورك على خلقك مبصراً به نلتمس دربنا وعليك انت نستعين و ترزقناً الفهم وعليك انت وحدك بدء امرنا واليك منتهى امرنا
يا ارحم الراحمين ,,
وصلى الله هم على سيدى ومولاى رسول الله محمد ابن عبدالله عليه وعلى اخوانه الرسل والأنبياء الكرام البرره و ورسلك من اولى العزم افضل الصلوات ربى ورضاك واختم كلامى ؛
بالحمدالله رب العالمين
24/01/2010، 9:48:00 ص
الكوانتم
يقول...في الحقيقة ان انتاج الغدة الصنوبرية ربما يؤدي الى اختلاف في انتاج البروتنات والهرمونات التي تتخصص في السيطرة على العديد من العمليات الفسلجية في الجسم ربما يؤدي اختلاف الافرازات لهذة الغدة الى تعطل عمل العين او القسم الدماغي المسؤل عن تحليل الصور وربما الاذن كذلك او لم يثبت ان الجنون في معظمة مرجوع الى الخلل في انتاج هذه الغدة علما ان الابحاث في هذا الموضوع لم تنتهي بعد لذا نعج عن الجزم في الموضوع
08/02/2010، 10:20:00 ص
dalia
يقول...موضوع في قمة الجمال والروعة فاللهم بارك في كاتبه
منذ صغري وانا اري الجن بهيئات مختلفة كانوا ياتون للحديث معي احيانا منذ صغري ..اغلبهم علي شكل بشر لكن اطوالهم مختلفة
قيل عني اني مصابة بالمس وايضا السحر حتي جربت الامرين في فترة من حياتي اي لست وانا صغيرة في السابعة من العمر بل في بداية العشرينات عندها عرفت الفرق بين ان تري الجن وانت مصاب وبين ان تراهم وانت تملك قدرة رؤيتهم
اعتقد انني اصنف من ضمن الوسطاء الروحيين كوني ادخل الي اماكن في بيوت الناس فاعلم من به سواء كان طاقة سلبية نتيجة امر معين وبين ان يكون هناك من الجن العامر او المؤذي
اعتقد فعلا ان الغدة الصنوبرية لها دور كبير في حالتي هذه .. مع ان اهلي جميعهم يملكون فراسة عجيبة وحدس وما زدت عليهم الا برؤية الجن
لا ادري ان كان للامر علاقة بالوراثة او بالنسب او امور اخري ولكن من مثل هذه المواضيع نستفيد
فجزاكم الله كل خير
28/08/2010، 7:12:00 ص
غير معرف
يقول...موضوع اكثر من رائع رغم اني لم اجد ما ابحث عنه الا و هو انتقال القدرة على رؤية الجن (قوية في سن المراهقة و تضعف مع ازدياد عمر المراة) من امراة الى امراة ذات علاقة اسرية قريبة بها على مر الاجيال
13/09/2011، 10:03:00 م
غير معرف
يقول...انا اسف لاني اخالفكم الراي جميعا وللسبب التالي :
ان كل ما كان يدور من رؤيا للجن او ارواح او اشباح هي محض خيال , حيث لم يتعرض اي من الذين راوا تلك الاشكال الى اي نوع من انواع التاثير المادي الملموس والمباشر , لا اقصد ردود الفعل انما الفعل نفسه .
ولذلك لا توجد للحقيقة اي قرائن مادية
اما ما يدور من قصص وحكايات فانها في الحقيقة اوهام تاثير العقل الذي لم نستطيع من استغلال سوى 8% من طاقته الكلية ولذلك نحن قاصرين عنه .
والباب الثاني هو كذب و تدليس وافتعال لقصص عير واقعية وصناعة حدث دراماتيكي محبوك لضبط السيناريو وكل ذلك يدخل في مدخل الدعاية و التشهير .
30/10/2011، 8:50:00 م
غير معرف
يقول...ان اكثر الناس الذين نقول عنهم قد اصابهم مس الجن هم من اكثر الناس الذين يؤمنون بوجود الجن والاكثرية نراهم يبقون كما هم ملتبسين بالجن رغم لجوء اقاربهم الى اناس يسمون بالمشعوذين والسحرة على امل اخراج الجن من صاحبهم الممسوس بالجن والثقافةفي الغرب لا علاقة لها في ان البعض يرى الجن على انهم مخلوقات فضائية فثقافة الغرب مبنية على الدين المسيحي ايضا الذي من المفروض انه يؤمن بوجود الجن .والشخص الذي يرى اشياء غريبة او يتخيل وهو مؤمن ان هناك مشكلة نفسية يعاني منها فانه يؤمن انه يمكن ان يشفى بطرق العلاج النفسية الحديثة والمغزى ان كل انسان اذا اعتقد بوجود الجن فسوف يأتيه الجن وكل انسان اذا اعتقد بانه يعاني من ضغط نفسي شديد فسوف يصاب بالضغط النفسي ولا ننسى ان هناك عقل باطن لكل انسان يعمل كالمغطيس يجذب ما يفكر ويخاف منه كل انسان فيرى تحقق الشيء الذي فكر به
10/11/2011، 1:57:00 ص
غير معرف
يقول...حسن انا اسف لاني اخالفكم الراي جميعا وللسبب التالي ارتبط اسم الغدة الصنوبرية في قديم الزمان بمركز الروح البشرية، ولكن في الوقت الحالي ما زالت الغدة الصنوبرية موضع أبحاث.
وقد تم إثبات مايلي: هي مسئولة عن الحالة النفسية المتغيرة عند الإنسان، ومسئولة عن تنظيم الوقت؛ وعن الحالة الجنسية، فقد لوحظ ان تخريب المنطقة يؤدي إلى البلوغ المبكر. وهي تعمل أيضا على منع الأكسدة بواسطة مادة الميلاتونبن التي تفرزها مباشرة في الدم وذلك بعد تعرض الجسم للظلام وهو ما يمنع تشكل الأورام السرطانية و يقول العلماء بأن الله غير مسؤول عن إسباب السرطان في جسم الإنسان
27/12/2011، 11:41:00 ص
غير معرف
يقول...السلام عليكم ورحمة الله وبركاته..من لا يؤمن بالجن فهو غير مؤمن اصلا..فالجن خلقوا قبل الانسان..وهم يملكون قدرات لم تعطى للانسان..حيث يمكنهم النفوذ من خلال الاجسام وغيرها الكثير من القدرات..ولكن الانسان يفوقهم ذكاءا..فذكاء الانسان لا يوازيه شيء..
واحب اقول لكل من لا يصدق بالجن..انكم في خطأ كبير..!
وهذا الدليل..مره كنا انا وصديقي في مزرعه كبيره من النخيل..في الساعه 2 ونصف ليلا..فجأه سمعنا صوت نار تشتعل وبسرعه..فقلت لصديقي هل ترى النار؟ قال لا.وكانت تزيد اشتعالا وقربا منا..ونحن لا نراها فقط نسمع الصوت القوي..
فعرفنا انها مكيدة الجن..! وهربنا ..فلحق بنا الصوت ولكن هذه المره..كالبحر الهائج..وكان مخيفا جدا..حيث كان يصطدم بالنخيل على مروره بها..
حتى خرجنا من المزرعه..فتوقف ذلك الصوت..وقد اتيت في الصباح
لارى آثار اصطدام ذلك الشيء المخيف..في النخيل..ولكن؟؟!! لا اثر يذكر ابدا..
هل ما زال احد لا يصدق بوجود الجن..؟فسر لي النار اذا.
12/06/2012، 7:38:00 ص
بالنسبه الى الاخ قبلي الذي ذكر قصه النار
قصتك لا تثبت وجود جن على الاطلاق .. هي مجرد قصه ناقصه انتم تفتقرون الى الادله و التفاسير فيها فما بالك نحن ؟ كيف تريدنا ان نحكم انه جن ؟؟
كل قصص الجن التي سمعتها دائما تكون قصص مبهمه وناقصه تتخللها احداث غريبه ممكن ان تفسر باكثر من تفسير غير الجن
عندما لا يعلم الشخص مصدر صوت يقوم بالحكم عليه انه جن .. وان قلت له ممكن ان يكون اي شيء غير الجن يقول اثبت لي .. المشكله حتى هو لايوجد لديه اثبات انه جن !!!
من وجهة نظري الشخصيه ان الجن عباره عن مخلوق يصنعه رجال الدين في وعي الانسان .. و تأثيرات هذا المخلوق دائما مبهمه لا تفسير لها او مرعبه او ضاره .... والهدف من صنع رجال الدين له هو ان الحل الامثل لهذا المخلوق هو الاستعانه بهم .. سواء للربح المادي او للمكانه الاجتماعيه ... اي استغلال خوف الناس لأغراض شخصيه .. مع العلم ان جميع البشر يتعرضون لمواقف مرعبه او مبهمه
و اعلم ان كل ردودكم ستكون بالرفض والهجوم بحجة ذكر الجن في القرآن ..
القرآن ذكر وجود الجن في الحياة ولم يقل انها تظهر لك في الظلام او تصدر اصوات غريبه او او او او .. الى اخره من قصص الناس المرعبه التي يستمتعون بها و يؤلفون بها القصص و المواقع الالكترونيه و الافلام
وشكرا
17/06/2012، 9:27:00 م
غير معرف
يقول...السلام عليكم اخواني واخواتي انا تكلمت البارحة عن موضوع خيال الجن او خيال الملوك الروحانيون الذين يسكنون في الطبق الرابعة من السماء وفصلت باكامل كيف انني ارى خياله وهو معي ولا ارى اي تعليق وشكرا
29/10/2012، 5:47:00 م
غير معرف
يقول...الجن موجود و سياتي العلم يوما ليتبت دلك بالادلة الدامغة
انا رايت الجن مع العلم اني كنت من الناس التي كانت تظنه معتقدات فقط ، رايته على شكل انسان و على شكل قط اسود و انا يقظة على الساعة 3 و النصف صباحا
الانس ادكى من الجن ، يسخرونهم و هم أثير او طاقة تتجول في داخل الجسد البشري و تؤثر في مراكز الطاقة لديه ، اخص بالدكر الغدد الصنوبرية منها خصوصا
12/03/2013، 3:11:00 م
التعليقات جميلة رغم اختلاف افكار اصحابها ... برايي المقال جميل لانه منطقي ويربط كثير من ايات القران الكريم وماتوصل اليه العلم واعجبني فكرة تفسير نظرية القرين لكثير من الظواهر الغريبة لانها تستند اصلا لحديث للرسول صلى الله عليه ةسلم عن وجود قرين من الجن لكل بشر ... شكرا عالمقال المفصل
12/06/2013، 2:45:00 م
غير معرف
يقول...من طول ما الشى مارئى فهو اذا موجود
05/04/2014، 1:43:00 ص
غير معرف
يقول...انا في صغري رايت واحدا منهم وكانت امي بجانبي فاخبرتها لكنها طلبت مني ان انام ولم تره وكان ينظر الي وهوجالس خلف الباب ولكن صورته طبع في ذاكرتي
23/04/2014، 4:31:00 ص
غير معرف
يقول...بصراحة انا ﻛﻨﺖلا اؤمن بحكاية الجن .. لكن ما لفت انتباهي هو ان احد الاشخاص قام بتشغيل قرآن كريم على الكسيت تفاجأ عندما رأى زوجته مرمية على الارض مغما عليها وكانت تتمتم بكلمات غير مفهومة كانت اول مرة تفقد وعيها .. قام زوجها بمراجعة طبيب نفسي لكن بعد فترة عاودتها الحالة فذهب بها الى مركز علاج المس بالقرآن واخذ مع زوجته احدى قريباته لمرافقة زوجته واثناء دخولهما المركز وانتظار الدور بدا الشيخ بالقراءة في مكبر صوت ﻓﻘﺎﻡت تلك ﺍﻟﻤﺮﺃة المرافقة للمريضة بالصراخ وحل نعالها ورميها نحو مكبر الصوت والسب بالفاظ بذيئة علما ان كلتا الفتاتين من منطقة ريفية وعلى خلق نبيل وغير متعلمات .. المهم ذهب الشيخ نحو تلك المرأة وقرا القران واذ ا بها تقول انا سوف اخرج ﻣﻨﻬﺎ واذا بالشيخ يتلكم معها على صيغة انها مذكر وهي تجيب بصيغة المذكر ايضا بالمعنى الاصح يتكلم مع الجني ، اخبر الشيخ ان كلتا الفتاتين مصابتا بمس فطلب ذالك الرجل من الشيخ ان ياتي للقرية لاكمال جلساته فوافق الشيخ ،، فعندما حضر الشيخ الى القرية وبدا بالقرأة اذ بالكثير من النساء ﻭﺍﻟﺮﺟﺎﻝ الﺫﻳﻦ يسمعﻭﻥ القرأن اما يغمى عليهم اويتشنجون او يسبون الشيخ علما انهما اناس مؤمنين بالله وملتزمين بالدين الاسلامي ومحافظين على الصلوات ،. لا اطيل بدا الشيخ بالقراة على الكل وبالدور .. ما لفت انتباهي حضرت احدى الجلسات لاحد المرضى ورايت المريض ياخذ قنينة ماء من امام الشيخ ويرمي بها في اتجاه زاوية الغرفة اللتي يتم فيها المعالجة .. مالفت انتباهي اكثر عندما وقعت القنينة في الزاوية صاح نفسه الذي رماها وكانه المرمي بها وليس الرامي او كانها وقعت فيه خاصة بعد ان امسك على بطنه .. صراحة تعجبت وقتها تكلم الجني بلسان الرجل وبداء يتحدث ويصر على عزمه على عدم الخروج من ذلك الرجل .. المهم ما ان افاق وخرج تقدم احد ويساله هل كان يشعر بكل مادار من حوار اجاب بالنفي ،، وعن تذكره لماذا رجم القنينة في الزاوية وبشدة اجاب انه يذكر انه شاف ذلك المخلوق الذي كان يراوده في الاحلام ولكنه كان ينساه ما ان يصحو ا ولا يتذكر شيأ ،، ﻗﺎﺋﻼ اما الان عند ما رايته اليوم تذكرت كل شيئ قد دار بيني وبينه من خلافات وتعارك وشجار وتذكرت ما لم كنت لم اتذكره ،، وعن القنينه قال رميته بها .. ولكني رديت عليه ولماذا صحﺭﺧﺖ انت هل رماك بشيى اجاب ﻻ.. المهم في حديثنا وقت ارتطام القنينة بالزاوية صاح اللذي رما القنينه نفسه ومسك على بطنه .. المحير كيف يرمي شيئ على مسافة ثلاث امتار ويصرخ هو كيف يرمي نفسه وهو رما الزاوية ،، غريب . غريب فعلا .
10/10/2014، 12:12:00 ص
غير معرف
يقول...سر العلاقة التي تتحدث عنها تكمن في اختلاف حالات المادة
13/10/2014، 7:48:00 ص
السلام عليكم....قال تعالى في سورةالجن كناطرائق قيداداآ..اي مثل اصناف الطعام منهاالعربي ومنهاالخليجي ومنهاالشامي ومنهاالفرنسى
اي الاوروبي والامريكي والياباني ...........الخ واللةاعلم الوانهم الاحمروالاصفروالازرق في الأصل ومخلوقين من نار!!!
وقال تعالىعندخلقسيدناادم(اتجعل فيهامن يفسدفيهاويسفك الدماءونحن نسبح بحمدك ونقدسلك-قال اني اعلم مالاتعلمون-وعلم ادم الاسماء.....)اﻵية ...........فهادليل على وجودهم قبل خلق سيدناادم عليةالسلام......ومن رحمةاللةبناوبهم اننالانراهم وان نعمه البصرتؤثرعليهم.....اي الجن واللةاعلم بالصوبالصواب
30/01/2015، 8:57:00 م
غير معرف
يقول...منذ الصغر وانا لدي فضول عن عالم الجن و ما وراء الطبيعة لما بلغت سن المراهقة ولاني كنت جد متحفزة رأيت الجن في اشكال البشر و الحيوانات ولاني كنت احدث اهلي وأصدقائي لم يصدقوني وظنو انني اكذب او لدي مرض الانفصام او هو تخيل فتحديتهم وجعلتهم يرونهم ايضا لقد تحدثت اليهم في كثير من الاحيان ظنا مني اني احدث اخي او صديقتي ثم يختفي مرة واحدة وادرك انني كنت احدث الجان لم اكن اخف في تلك اللحضات بل ينتابني الخوف بعد ان يختفو ويمكنني ان اصف الحالة انه حينما يتواجد الجن في مكان يحدث تغير المناخ كانك تنتقل لبعد اخر في نفس المكان كانك تحجب عن المكان. بعد سنين طويلة كنت أرى فيها الجن والانس واميز بين ال2 قررت ان امتنع عن الرؤيا فتحولت الرؤى في المنام فرايت حروبا قبل حدوتها احداث عالمية ومازلت ارى اماكن واشخاص واراهم بعد اشهر او سنين بنفس الهيئة.عن تجربتي اظن ان العالم مليء بالخبايا والاسرار و الكثير لم نكتشف منه الا القليل
10/12/2015، 1:56:00 ص
شكرا لك على هذا التفصيل فقد قرب لي الامر فأنا ومنذ مدة اشاهد اجسام طيف في كل وقت وخصوصا اذا ركزت النظر فإني احتار لاني لا ارى اجسام طيف وهو الجن فقط وإنما ارى طيف هلامي في كل مكان حولي ولا يحيرني الجن فأنا مؤمن بوجوده ولا ابالي به ولا اخافه وانما يحيرني انني ما اركز النظر ثواني حتى ارى كل الهواء حولي كالطيف !!
انا مقتنع انني لست اتوهم واراه بعيني لا بخيالي قناعة تامة والان ادركت بتقريركم انه من الممكن ان يكون عندي خلل في عمل الغدة الصنوبرية ..
وهنا اسألك لو تكرمت هل يمكنني ان استفيد من هذه الظاهرة ؟
وهل يمكن ان تتضاعف واتأثر سلبا منها في الستقبل ؟؟
علما انني حاليا غير مستاء ولا فرح بما ارى بإستمرار انما يدفعني للفضول فقط .
14/01/2016، 8:57:00 م
شكرا لك تقرير رائع
ولفتني الى ما حيرني في امري فأنا ومنذ مدة ارى اجسام طيف في اي مكان ووقت وخصوصا عندما أحدق النظر لثواني فأحتار ما ارى ولا يحيرني الاجسام فأنا مؤمن بوجود الجن ولا ابالي فيهم ولا يخيفوني او يؤذوني وانما ارى ك. يحيطني في الهواء حولي كالطيف او السراب ...
انا على قناعة انني لست ممسوس او مسحور او مريض نفسي وانني ما اراه ليس بخيالي بل قطعا اراه بعيني .
وكنت قد بحثت بمصادر الدين كلها فلم اجد اي تفسير لما ارى من غير الجن في الهواء وأدركت الآن في كلامك انه من الممكن ان يكون عندي خلل في عمل الغدة الصنوبرية
وهنا اسألك لو تكرمت لو ثبت ذالك بي هل يمكنني ان استفيد من هذه الظاهرة بشكل ما؟؟
وهل من الممكن ان يتضاعف الامر مستقبلا ليشكل ضررا ما علي ؟؟؟
علما انني حاليا غير مستبشر ولا مستاء ولا يؤثر على حياتي اطلاقا إلا الفضول والحيرة .
ملاحظة قرأت كل التعليقات ومعظمها رائع ..
هناك تعليق لأخ اسمه عبد الملك عنده نفس عقلي واسلوبي بالفهم وكأنه انا !!!
14/01/2016، 9:30:00 م
غير معرف
يقول...الغده الصنوبريه ف جهه و عالم الجن في جهه مافي اي ارتباط بينهم:) اقرا قران و كتب بتفهم كويس عنهم
اما الغدد خليها في حالها
06/11/2016، 1:15:00 ص
موضوع الجن له تأريخ طويل على مدى اجيال ولكن كوني اختصاص في علم النفس ارى قوة شخصية الفرد كحافز ووقايه من حالة الجن من خلال البحوث اكتشفت بأن الضعف الشخصيه والمشاكل الاجتماعيه وعلاقة الفرد مع البيئه الاجتماعيه قد تسبب حاله من الهلوسه الفكريه شكرا لحضراتكم
20/01/2019، 10:24:00 م
لديا تجارب وبحوت جعلتني اتوصل لنفس الشيئ الدي توصلت إليه
09/03/2019، 10:23:00 م
ارجع لكتاب يسمي كنجور صدر منذ 30عاما. وهو اسم الجني الذي اسلم وكان عمره فوق 3000عاما.تقريبا.للكاتب ابراهيم عيسي.تجدالاجابه المقنعه العلمية لماذا يري بعض الناس الجن.وحسب خبرتي في هذا المجال الغدة الصنوبرية لها علاقة بالخيال. وهذة لعبة الشياطين بالعين الثالثة. وصل اللهم وسلم وبارك على سيدنا محمد وعلى آله وصحبه أجمعين
17/10/2021، 2:28:00 م
شارك في ساحة النقاش عبر كتابة تعليقك أدناه مع إحترام الرأي الآخر وتجنب : الخروج عن محور الموضوع ، إثارة الكراهية ضد دين أو طائفة أو عرق أو قومية أو تمييز ضد المرأة أو إهانة لرموز دينية أو لتكفير أحد المشاركين أو للنيل والإستهزاء من فكر أو شخص أحدهم أو لغاية إعلانية. إقرأ عن أخطاء التفكير لمزيد من التفاصيل .